Invisalign in Chula Vista
Invisalign Near You
Beauty and Ease of Invisalign®, Cosmetic Straightens Teeth Comfortably and Discreetly without Braces
Dr. Sam Halabo in Chula Vista, California, has been recognized as one of the World’s Top 100 Doctors in Dentistry by Global Summits Institute. He travels the globe educating other dentists on leading-edge techniques and technologies to better their patients’ experiences and treatment outcomes, including offering advanced solutions like Invisalign in Chula Vista.
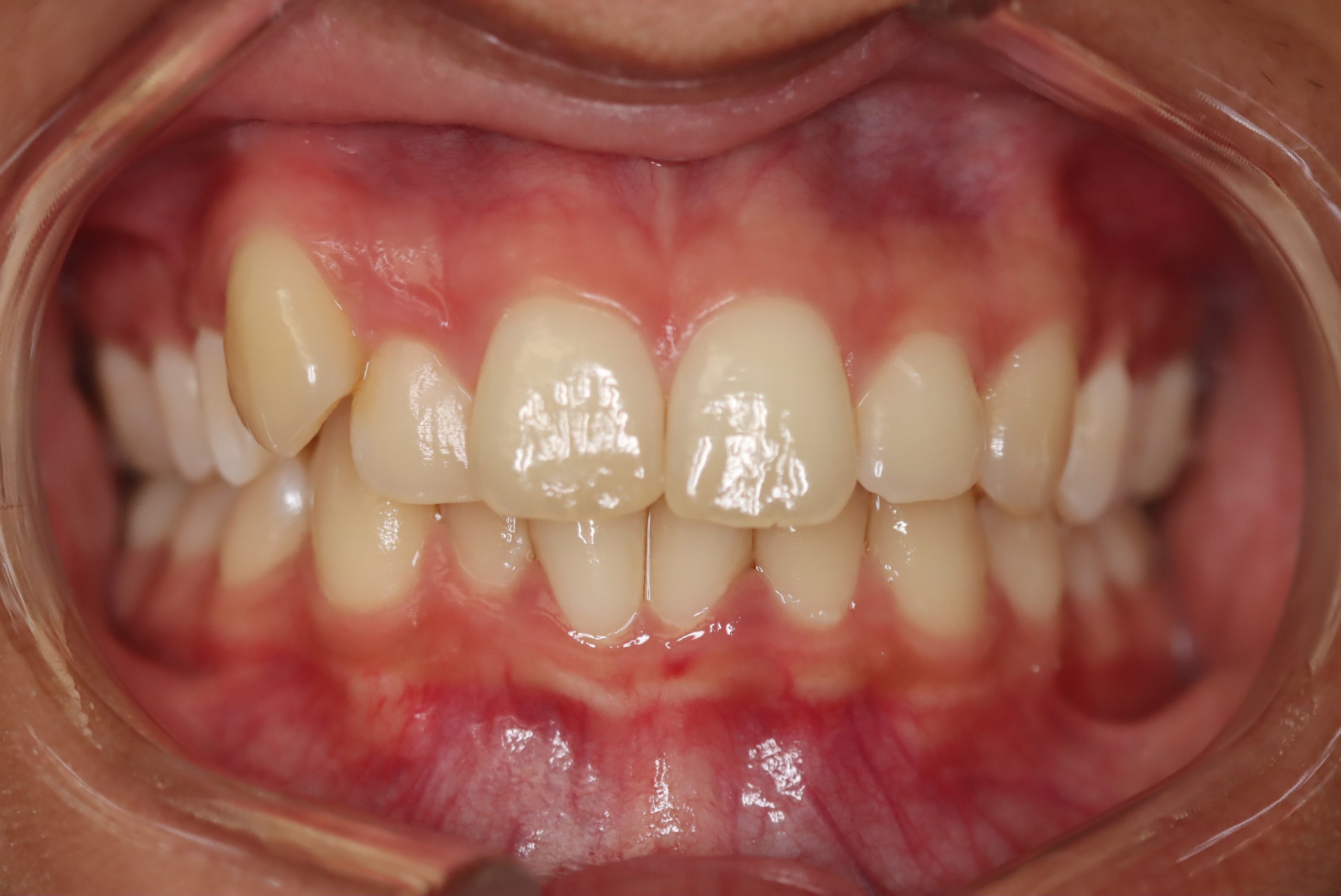
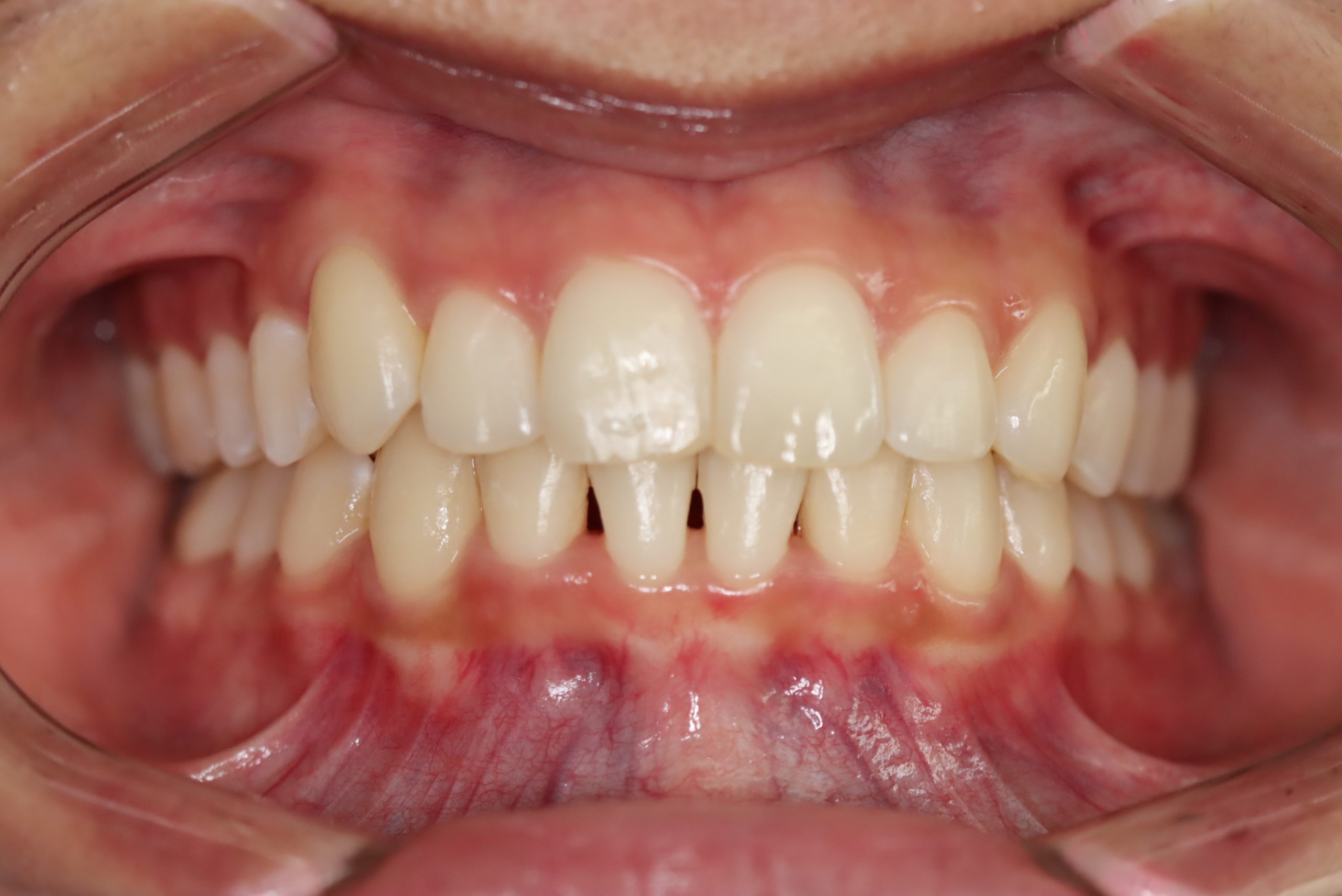
Additionally, the office of Sam J. Halabo, DMD, your trusted dentist in Chula Vista, is the “one-stop” for top care in all sorts of branches of dentistry, including orthodontic treatment. In fact, Dr. Sam has been a certified provider of Invisalign® since 2002! This pioneering alternative to braces for correcting crowded, crooked, and otherwise misaligned teeth and “bites” was launched in the late 1990s. So, Dr. Sam has offered Invisalign® pretty much since the beginning. Since then, more than 14 million smiles have been safely, comfortably, and optimally corrected with this modern, discreet, and removable way to straighten teeth. You, too, can benefit from Invisalign®. If you’ve been searching for Invisalign near you, this could be the ideal solution.
Complete Invisalign Package - Save $500
- Includes: full treatment, X-rays, photos, impressions, and pro whitening.
- Find out if Invisalign is right for you. (No restrictions)
- Limited time offer.
Payments as low as $83/month
The “magic” of Invisalign® resides with its custom aligner trays. These oral appliances are made from a smooth, flexible, and transparent thermoplastic. When worn as directed by Dr. Sam, your trusted dentist near you, the aligners place gentle yet consistent pressure on the teeth. Over the next 6 to 9 months, on average (and with proper wear), your teeth will be repositioned, and your gaps and other spacing issues will disappear! Be sure only to remove the aligners when eating and when brushing and flossing your teeth. The average patient wears between 10 and 18 aligners over the course of treatment. This is not a “one set of aligner trays and done” treatment. A series of aligners are worn, each tray corresponding with a different and successive step in the treatment process. Each aligner is worn between one to two weeks. If you’re considering Invisalign in Chula Vista, this modern, discreet solution can be a game changer for your smile.
The Invisalign® Difference
- Comfortable – Custom trays do not poke against the inside of the mouth like conventional metal hardware.
- Invisible – Since the trays are made from transparent plastic, no one sees them in your smile!
- Convenient – Aligners are removable. So, you can take them out for comfortable eating and for effective cleaning of the teeth and gums throughout treatment. If you’re looking for Invisalign near you, enjoy even sticky foods and maintain excellent oral hygiene at every stage of your teeth-straightening journey!
- Safe and effective – Invisalign® uses the same principles as traditional braces to straighten teeth, only without the use of silver-hued, fixed (non-removable) metal hardware.
Invisalign® is also high-tech. In fact, Dr. Sam can show you exactly how your new smile will look at every phase of treatment during your initial consultation, thanks to the use of advanced 3-D modeling software. This software allows us to create a virtual model of your mouth. We can then use this model to walk you through how your teeth will look as the aligners “work their magic.” Call (619) 427-0810 to schedule your “no-strings-attached” Invisalign® consultation with Dr. Sam at our office in Chula Vista, CA, today!
Invisalign vs. Braces: What’s Right for You?
Feature | Invisalign | Braces |
Appearance | Clear and nearly invisible | Metal or ceramic brackets |
Removability | Removable for eating and cleaning | Fixed in place |
Comfort | Smooth plastic aligners | May cause irritation early on |
Maintenance | Easy to clean teeth and aligners separately | More difficult to clean around brackets |



